En dues ocasions, el traumatòleg de guàrdia va intentar reduir la lesió per via manual, abans de procedir, en una tercera fase, a una intervenció quirúrgica per tal d’intentar resoldre la fractura-luxació que l’home, ara demandant, patia en la seva espatlla esquerra arran d’una caiguda a la via pública. Fins a tres informes mèdics diferents consideren que es va fer mal fet. Perquè després de la primera maniobra manual, venen a dir els experts, ja quedava clar que calia operació i deixar-se d’invents. Però el traumatòleg en qüestió, en una mala decisió, hi va voler tornar.
El SAAS assegurava que sí que hi va haver tal consentiment però que el document que ho avalava es va extraviar. I negava tant la mala praxi com el fet que hi hagués una relació de causa efecte entre l’actuació del traumatòleg i l’agreujament de la lesió
Aquest segon intent manual hauria agreujat la lesió. Alhora, no hi ha consentiment informat en relació a l’actuació que calia fer. El Servei Andorrà d’Atenció Sanitària (SAAS) assegurava que sí que hi va haver tal consentiment però que el document que ho avalava es va extraviar. I negava tant la mala praxi com el fet que hi hagués una relació de causa efecte entre l’actuació del traumatòleg i l’agreujament de la lesió. Ni tan sols la Batllia en primera instància no va donar la raó a l’hospital. Però tampoc va atendre les pretensions del lesionat assegurant que en cap cas es podia dir que l’agreujament de la luxació, de la fractura, era per causa de l’actuació mèdica.
Ara, la sala administrativa del Tribunal Superior diu que sí, que la intervenció mèdica va ser decisiva per empitjorar la situació. Ara bé, l’informe pericial sol·licitat per la Batllia no es va mullar, com li demanava el jutge, a determinar fins on la lesió era producte de la caiguda en sí i fins on l’agreujament de la situació era culpa de l’acció del traumatòleg. Per tant, la sala exigeix ara que el pèrit en qüestió determini els límits d’una acció i l’altra atès que això serà clau per establir la compensació a rebre per l’afectat. Perquè de mala praxi mèdica, quedi clar, n’hi va haver.
LA RESOLUCIÓ
Com s’ha dit, en primera instància es va admetre l’indegut procedir mèdic. Però “la sentència parteix de la necessitat de distingir entre les lesions que derivaven necessàriament de l’accident i les produïdes pel tractament mèdic. Des d’aquest punt de vista, conclou que no es pot afirmar que aquestes darreres hagin estat produïdes per la primera reducció manual o per la segona. De la mateixa manera, considera que no consta que la manca de consentiment informat hagi generat un dany. En conseqüència, estima que no s’ha evidenciat una relació de causalitat entre l’actuació mèdica i els perjudicis causats a l’agent, motiu pel qual es desestima la demanda”.
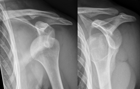
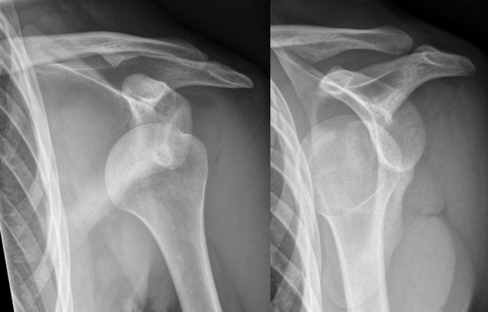
Un dels informes mèdics per rebatre l’actuació a Urgències és clar: “Després d’efectuar el primer intent de reducció, la radiografia mostra un gran desplaçament dels fragments de la fractura. En aquestes condicions, no s’ha d’efectuar un nou intent de reducció, doncs la fractura és inestable, i la seva solució és quirúrgica. A més a més, hi ha un alt risc d’aparició de complicacions”
En segona instància l’escenari ha canviat. La resolució recentment dictada recull els parers de fins a tres pèrits diferents que determinen que la segona maniobra manual era innecessària i, a més a més, contraproduent. “La causa probable de la lesió del paquet vasculonerviós axil·lar, lesió del tendó del bíceps i del manegot dels rotadors que presenta el lesionat és justament derivada de la manipulació de la fractura luxació d’espatlla feta a urgències el 24 de maig de 2008. Quan una fractura del coll quirúrgic està desplaçada, la funció del manegot dels rotadors està compromès i per tant està indicada la reducció oberta de la fractura”, diu un dels informes mèdics.
S’hi afegeix, a més, que “el dia de l’accident es va produir una fractura de glenoides que es podria haver reparat en l’acte quirúrgic ja que juntament amb les lesions musculo-lligamentàries que existeixen a dia d’avui, fan la espatlla molt inestable amb tendència a la subluxació”. Un altre dels informes mèdics sol·licitats per mirar d’aclarir tot plegat indica que “després d’efectuar el primer intent de reducció, la radiografia mostra un gran desplaçament dels fragments de la fractura. En aquestes condicions, no s’ha d’efectuar un nou intent de reducció, doncs la fractura és inestable, i la seva solució és quirúrgica. A més a més, hi ha un alt risc d’aparició de complicacions”.
Davant de tot plegat, la sala administrativa del TS considera que “els informes mèdics permeten concloure que la reiteració dels intents de reducció manual de la fractura-luxació, un cop s’havia constatat que el primer intent havia produït un augment del desplaçament dels fragments ossis, era contraindicada i contrària als criteris de la ‘lex artis ad hoc’”. A més a més, “en la posterior intervenció quirúrgica no es van reparar altres complicacions, com la fractura del glenoides, cosa que ha incidit negativament en l’evolució de les lesions”.
També recull la sentència que “el fet que no consta que s’obtingués el consentiment informat del pacient, va impedir que aquest valorés en tot el seu abast els riscos derivats de cadascun dels tractaments i pogués decidir amb el suficient coneixement de causa”. Per tot això, “en el mateix sentit que la sentència apel·lada, s’ha de concloure que ha existit una falta de servei de l’administració, que compromet la seva responsabilitat patrimonial”.
CAUSA EFECTE
A partir d’aquí, cal veure fins on la lesió és causada per la caiguda i fins on hi va tenir a veure l’actuació mèdica. La sala afirma que “bona part de les lesions patides per l’agent són conseqüència necessària de l’accident que va patir i no deriven de la mala praxi mèdica que s’ha constatat. Així succeeix, entre d’altres, amb el perjudici estètic derivat de la cicatriu que té l’origen en la intervenció quirúrgica, que ningú discuteix que s’havia de practicar, i que, per això, no porta causa dels fallits intents de reducció manual, ni es pot atribuir a la mala praxi mèdica”.
Per tant, “només procedeix indemnitzar aquells perjudicis que derivin de les actuacions mèdiques que resultaven desaconsellades, i que van augmentar el temps de curació o les seqüeles de l’interessat. En aquest sentit, no es pot compartir la conclusió a què arriba la sentència apel·lada, que nega l’existència de qualsevol relació causal entre la defectuosa actuació facultativa i el resultat lesiu que presenta el pacient”. Per tot plegat, però, “resulta evident que la defectuosa actuació mèdica va donar lloc a un empitjorament de la situació de l’interessat”.
Ara bé, i aquí és quan el tribunal no pot decidir quina compensació econòmica atorgar, “el dictamen pericial no discrimina entre les lesions que derivaven necessàriament de l’accident i aquelles altres que van ser produïdes pels reiterats intents de reducció manual de la fractura-luxació, o bé el major temps de curació que va ser necessari per causa d’aquests darrers. Tampoc es valora la situació derivada de la manca de reparació del glenoides o de les lesions nervioses i musculars derivades d’aquelles procediments”. Per tant, demana a la Batllia que exigeixi al pèrit que defineixi fins on la lesió era producte de la caiguda i fins on l’agreujament de la situació va ser derivada de la mala praxi mèdica.







Comentaris (2)